Smile Gallery

The image features a person with an open mouth displaying teeth that appear to be discolored or stained, possibly due to dental issues.

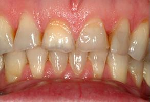
Before

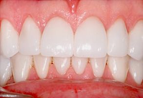
The image shows a person with a wide smile displaying white teeth and a bright smile.

After

The image displays two photographs of an open mouth with yellowed teeth and visible gum disease, showcasing dental decay and poor oral hygiene.

Before

The image displays a set of human teeth with visible signs of dental decay and discoloration, likely due to neglect or poor oral hygiene.

After

The image shows a close-up of a person s face with a broad smile revealing multiple teeth, including an orthodontic appliance.

Before

The image displays a close-up of a person s smiling mouth with white teeth and a full lip line, set against a neutral background.

After

Before

The image shows a close-up view of teeth with a focus on a large gap between two front teeth, which appear to be missing or extracted.

After

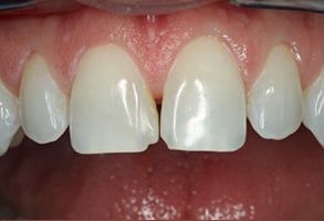
Before

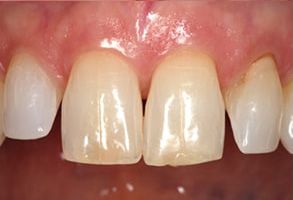
The image shows a close-up view of a person s teeth with a focus on their upper front teeth, which appear to be a shade lighter than the rest of the teeth, possibly indicating a difference in tooth coloration or whitening treatment.

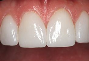
After

The image shows a close-up view of a person s teeth with visible yellowing and staining, particularly on the front upper teeth, which suggests potential dental issues such as discoloration or decay.

Before

After

Before

After

The image displays a collection of beauty products neatly arranged on a wooden tray with a white surface background.

Begin Your Path to a Smile You’ll Love